SON DUYURULAR
HEPATİT C ELİMİNASYONU DENİZLİ DEĞERLENDİRMESİ TOPLANTISI
10 Mart 2025
HEPATİT C FARKINDALIK TOPLANTISI
02 Ocak 2025
2.BASAMAK DEVLET HASTANELERİ HEPATİT GÜNCELLEME TOPLANTISI
02 Ekim 2024
BUHASDER 2024 KONGRESİ Katılım Desteğine Başvurmak İçin Son Gün 26 Eylül 2024
21 Eylül 2024
GAZİANTEP - BUHASDER İL EĞİTİM TOPLANTISI
06 Mart 2024
BUHASDER Yazarın Tüm Yazıları
Uzm. Dr. Bengü GİRENİZ TATAR
SaÄŸlık Bilimleri Üniversitesi
Tepecik Eğitim Araştırma Hastanesi
İnfeksiyon Hastalıkları ve Klinik Mikrobiyoloji
Gebelik ve Torch Enfeksiyonları
Gebelik ve doÄŸum sırasında doÄŸum kanalından geçen enfeksiyonlar düÅŸük, ölü doÄŸum, prematürite, intrauterin büyüme geriliÄŸi ve konjenital malformasyonlara yol açabilmesi nedeniyle erken teÅŸhiÅŸ ve tedavi önemlidir. TORCH grubu enfeksiyonlar;
T: Toksoplasmozis
O: Others (Varicella Zoster (suçiçeÄŸi) ve Hepatit B, Leptospirozis, Epstein Barr Virus(EBV), HIV, Human Parvovirus B19)
R:Rubella (kızamıkçık)
C: Citomegalovirus
H: Herpes virus
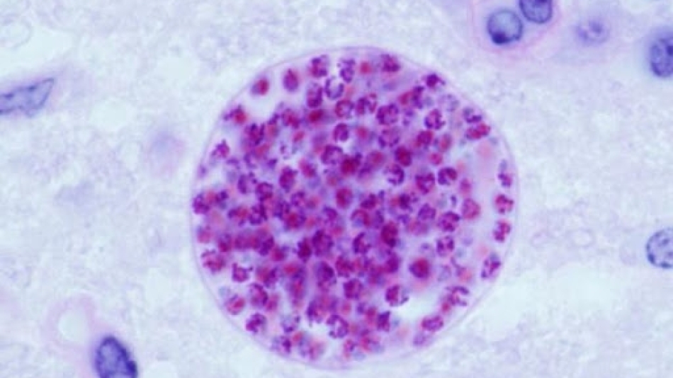
Toksoplasmozis
Etken Toksoplasma gondii parazitidir. Bağışıklık sistemi saÄŸlıklı olanlarda ve gebe olmayan insanlarda bu enfeksiyon fark edilmeden geçirilmektedir. Annenin aktif enfeksiyonu geçirdiÄŸi gebelik dönemine göre bebeÄŸe bulaÅŸma ve hasar oluÅŸturma olasılığı deÄŸiÅŸmektedir. GebeliÄŸin erken döneminde enfeksiyon geçirildiyse bebeÄŸe bulaÅŸma olasılığı düÅŸük fakat bebek enfekte olursa hasar geliÅŸme olasılığı yüksektir. GebeliÄŸin son trimestrinde geçirilen enfeksiyon bebeÄŸe yaklaşık %60 bulaÅŸla sonuçlanabilmektedir.
Bulaş yolları;
- az piÅŸmiÅŸ et ürünleri ile doku kisti formu ile ,
- dışkıyla atılan ookistin toprakla teması ve sebze ve meyvelerin iyi yıkanmadan tüketilmesi ile,
- annenin gebeliÄŸi sırasında toksoplasmozis geçirmesi ile plasentadan bebeÄŸe geçmektedir.
Toksoplasmozis bir kere geçirilir ve hayat boyu bağışıklık kazanılır. Dolayısıyla gebelikten önce bu hastalığı geçirmiÅŸ olanlarda hastalığı tekrar geçirmek mümkün deÄŸildir. Gebelik öncesinde Toksoplasmozise karşı oluÅŸan antikorlardan Ig G tipi antikorun tespit edilmesi enfeksiyonun daha önce geçirildiÄŸini gösterir. Ig G tipi antikor negatif ise kiÅŸi hastalığı geçirmemiÅŸtir ve gebelik sırasında korunma önlemleri alınmalıdır.
Korunma önlemleri;
- İyi piÅŸmemiÅŸ et, çiÄŸ et, iyi yıkandığından ÅŸüphe duyulan sebze ve meyve, pastörize olmamış süt tüketilmemelidir.
- ÇiÄŸ et ile temas edildiyse sonrasında eller çok iyi yıkanmalıdır.
- Evde kedi varsa evden çıkarılmamalı, çiÄŸ et yedirilmemelidir. Kedinin kumunu mümkünse bir baÅŸka kiÅŸi tarafından deÄŸiÅŸtirilmesi, eÄŸer bu mümkün deÄŸilse mutlaka eldiven giyilmeli ve sonrasında eller yıkanmalıdır.
Tanı;
Taramada gebe kanında Toksoplasma’ya karşı geliÅŸen Ig G ve Ig M antikorları bakılır.
- Toxo Ig M negatif Toxo Ig G negatif ise hastalık geçirilmemiÅŸ(bağışıklık yok),
- Toxo İgM negatif Toxo İgG pozitif ise geçirilmiÅŸ hastalık ve bağışıklık var,
- Toxo İgM pozitif Toxo İgG negatif ise akut enfeksiyon,
- Toxo İgM negatif Toxo İgG önce negatif sonra pozitif olduysa veya 3 hafta arayla bakıldığında 4 kat titre artışı var ise akut hastalık demektir.
Ig M tipi antikorlar aktif enfeksiyon göstergesi olsa da bazen 1 yıla kadar pozitif kalabimektedir. Ig G avidite testi ile aktif ve geçirilmiÅŸ enfeksiyon ayrımı yapılabilmektedir. Yüksek avidite hastalığın daha önceden geçirilmiÅŸ enfeksiyonu göstermektedir. Annede aktif hastalık saptandığında ise bebeÄŸe geçiÅŸi araÅŸtırmak için amnion sıvısında PCR yöntemiyle parazit DNA’sı aranarak anlaşılır.
Tedavi;
Annede enfeksiyon tespit edilir ise spiramycin baÅŸlanır. Bebekte enfeksiyon tespit edildiÄŸinde ise tedaviye primetamin/sulfodiazin eklenir. Tedavi, enfeksiyonun anneden bebeÄŸe bulaÅŸmasını önlemez ama bebekte oluÅŸabilecek sakatlıkların ÅŸiddetini azaltır. Erken dönemde bebeÄŸe bulaÅŸtığı ispatlanırsa aileyle gebeliÄŸi sonlandırma seçeneÄŸi tartışılmalıdır.
Rubella (Kızamıkçık)
Damlacık yoluyla bulaÅŸan viral döküntülü bir hastalıktır. 2-3 hafta kuluçka süresinden sonra yüzden baÅŸlayan, gövdeye, kollara, bacaklara yayılan ve 3 gün içinde kaybolan döküntüler oluÅŸur. AteÅŸ, eklem aÄŸrıları kulak arkası ve ensedeki lenf bezlerinde ÅŸiÅŸme ile karakterizedir. Çocuklarda ve eriÅŸkinlerde hafif seyirli bir hastalık olmasına raÄŸmen gebelik sırasında geçirildiÄŸinde bebekte sağırlık, katarakt, retinopati, mikroftalmi, glokom , kalpte ana damarlarda darlık, kalpte delik oluÅŸturabilir.
Gebenin kızamıkçıklı bir hastayla temas ettiÄŸinden ÅŸüphe ediliyorsa Rubella Ig G bakılır. Ig G pozitifse hastalığı daha önce geçirmiÅŸ demektir. EÄŸer Ig G negatifse iki kez 3 hafta arayla Rubella IgM bakılır. Ig M negatifse hastaya mikrop bulaÅŸmamış demektir. Ig M pozitifse aktif hastalık geçiriyor demektir. GebeliÄŸin ilk 3 ayında mikrop alındıysa bebeÄŸe bulaÅŸma olasılığı yüksektir ve aileyle gebeliÄŸi sonlandırma seçeneÄŸi tartışılmalıdır, gebeliÄŸin geç dönemde bebeÄŸe bulaÅŸma olasılığı düÅŸüktür. Kordon kanında Rubella antikorları araÅŸtırılarak bebeÄŸe hastalığın bulaşıp bulaÅŸmadığı saptanabilir
Sitomegalovirus (CMV)
CMV enfeksiyonu çoÄŸunlukla klinik vermeden geçirilir. BoÄŸaz aÄŸrısı, ateÅŸ, eklem aÄŸrısı, lenf bezlerinde büyüme gibi ÅŸikayetler olguların çok az kısmında görülebilir. BebeÄŸe bulaÅŸması riski gebeliÄŸin ilk yarısında geçirilen enfeksiyonda daha yüksektir. Bebekte düÅŸük doÄŸum ağırlığı, mental gerilik, sarılık, karaciÄŸer ve dalakta büyüme, kanama problemleri, görme ve iÅŸitme bozuklukları geliÅŸebilir. Annedeki CMV enfeksiyonunu veya bebeÄŸe bulaÅŸmasını önleyen bir tedavi yoktur. Tanıda Ig M ve IgG tipi antikorlara bakılır ve gerekli ise avidite testi yapılır.
- CMV Ig G negatif, Ig M negatif ise CMV ile karşılaşmamış
- CMV Ig G pozitif, Ig M negatif ise geçirilmiÅŸ CMV enfeksiyonu, ileri araÅŸtırmaya gerek yoktur.
- CMV Ig G pozitif, Ig M pozitif, Ig G aviditesi yüksek: Tekrar eden CMV enfeksiyonu. Sadece seri ultrason muyaneleri ile takip edilir. Ig G aviditesi düÅŸük: aktif enfeksiyonu gösterir. Ultrason ile takip edilmesi ve amniosentezle amniotik sıvıda PCR yöntemiyle CMV araÅŸtırılması gereklidir.
Herpes ( HSV)
Herpes simplex tip1 ve tip 2 olmak üzere iki çeÅŸit herpes simplex virüs vardır. HSV tip1 genital olan ve olmayan herpetik hastalıklardan tip 2 ise sadece genital herpetik hastalıklardan sorumludur. HSV tip I klasik olarak ağız ve dudak çevresindeki uçukların nedenidir. Virüs cinsel yolla (HSV tip 2) yada hastalık sırasında direkt yaraya temasla bulaşır. Virüsle bir kez bulaÅŸtıktan sonra kalıcı bağışıklık saÄŸlanmaz. Virüs vücuttaki sinir köklerinde latent (gizli) döneme geçer ve ömür boyu vücutta kalır.
Genital Herpes Enfeksiyonu
Primer Enfeksiyon: İlk kez virus bulaÅŸtığında ortaya çıkan hastalıktır. Etken genellikle HSV 2’dir. Primer enfeksiyonda virusun alınmasından sonraki 3-6 gün içinde genital bölgede kırmızılık, kaşıntı baÅŸlayıp, aÄŸrılı içi sıvı dolu ufak lezyonlara dönüÅŸür. Veziküller açılır ve aÄŸrılı açık yaralar oluÅŸur. 2-4 hafta içinde bütün ÅŸikayetler ortadan kaybolur. Reküren (tekrarlayan) enfeksiyon: Genellikle geçirilen ilk hastalıktan sonra oluÅŸan alevlenmeler daha az ÅŸiddetlidir ve hafif ÅŸekilde atlatılır.
BebeÄŸe herpes enfeksiyonu ;plasenta aracılığı ile (%5), doÄŸum sırasında (%85) ve doÄŸum sonrasında (%10) geçer. Gebelikte ilk kez herpes enfeksiyonu geçiriliyor olması daha sık yeni doÄŸan herpesine neden olurken reküren (tekrarlayan) enfeksiyon geçiren gebelerde yeni doÄŸan nadir etkilenmektedir. Yeni doÄŸanda herpes hastalığı 3 ÅŸekilde görülür. %45’inde deri, göz ve ağız, %30’unda merkezi sinir sistemi, %25’inde organ sistemleri etkilenir. Yaygın organ tutulumu olmayan herpes hastalığı olanlar antiviral tedaviye iyi cevap verir. Fakat yaygın tutulum olan bebeklerde tedaviye raÄŸmen hastalık %30 ölümle sonuçlanır ve yaÅŸayanların da yarıya yakınında kalıcı hasarlar kalır. Gebelikte tekrarlayan genital herpes alevlenmeleri olan hastalara 36. haftadan itibaren doÄŸuma kadar tedavi verilerek hastalık baskılanır. DoÄŸum eylemi baÅŸladığı sırada ya da annenin suyu geldiÄŸinde genital bölgede yukarda bahsedilen yaralar yoksa normal doÄŸum tercih edilmelidir. Fakat herpetik lezyonlar varsa sezaryen ile doÄŸum yapılması önerilir.
SuçiçeÄŸi (Varicella Zoster)
Hastalığın etkeni varicella zoster virusudur. EriÅŸkinlerin %95’i enfeksiyonu geçirmiÅŸ ve bağışıktır. Enfeksiyona karşı bağışıklığı olmayan suçiçeÄŸi geçirmemiÅŸ ergenlerde ve eriÅŸkinlerde 2 doz olacak ÅŸekilde suçiçeÄŸi aşısı yapılması önerilir. Gebelerde bu aşı canlı virüs aşısı olduÄŸundan uygulanması önerilmez. SuçiçeÄŸi geçiren bir hasta ile temas eden gebeye daha önce suçiçeÄŸi geçirmediyse varicella zoster immunglobulini yapılmalıdır. Anne hastalığı daha önce geçirip geçirmediÄŸini bilmiyorsa kanda Varicella Ig G antikoruna bakılır. GebeliÄŸi sırasında suçiçeÄŸi geçirildiÄŸi takdirde bulaşıcılık ve doÄŸumsal varicella hastalığı bakımından özellikle 13–20. gebelik haftası risklidir. DoÄŸumsal varicella hastalığında bebekte göz, beyin ve böbrek etkilenir. Cilt ve kemikte ÅŸekil bozuklukları geliÅŸir. GebeliÄŸin son dönemlerinde annenin suçiçeÄŸi geçirmesi durumunda ise bebekte sadece suçiçeÄŸi döküntüleri olur. EÄŸer annede suçiçeÄŸi doÄŸumdan önceki 5 gün içinde veya doÄŸumdan sonraki 2 hafta içinde ortaya çıkarsa anneden bebeÄŸe hastalıktan koruyacak olan antikorlar daha geçmemiÅŸ olduÄŸundan bebeÄŸe mutlaka varicella zoster immunglobulini yapılmalıdır.
